Una de cada tres personas adultas en el mundo convive con una enfermedad silenciosa potencialmente mortal: el hígado graso.
El hígado graso se emplea como término para agrupar todo un espectro de enfermedades que tienen un denominador común: la acumulación patológica de grasa en el hígado.
Resulta complejo entender las diferencias entre todas las formas en las que se puede presentar la enfermedad, lo cual se agrava aún más cuando se introducen los acrónimos en inglés empelados para clasificar a los distintos subtipos.
La enfermedad consta de distintas fases de progresión, que van desde estadios más tempranos sin apenas síntomas hasta etapas más avanzadas donde la función del hígado se puede ver comprometida:
- Enfermedad esteatótica hepática asociada a disfunción metabólica
- Hígado graso no alcohólico o esteatosis hepática
- Esteatohepatitis no alcohólica o esteatohepatitis asociada a disfunción metabólica
- Fibrosis
- Cirrosis
Sus equivalentes en inglés serían los siguientes:
- Metabolic dysfunction-associated steatotic liver disease (MASLD)
- Non-alcoholic fatty liver (NAFL) or hepatic steatosis
- Non-alcoholic steatohepatitis (NASH) or Metabolic dysfunction-associated steatohepatitis (MASH)
- Fibrosis
- Cirrhosis
¿No has entendido nada entre tanta palabra rara? Normal. Sigue leyendo, que te lo explico.
Quédate con las siglas en inglés, que son las que usaremos de aquí en adelante.
Ciencia y clínica
Fisiopatología de MASLD
No me voy a extender mucho, lo justo para entender las causas y las distintas fases de la enfermedad.
La principal característica de MASLD es la acumulación excesiva de grasa en el hígado, principalmente triglicéridos. Sin embargo, los mecanismos por los que se produce esta acumulación no ponen de acuerdo a la comunidad científica.
Se especula que una de las principales causas de la enfermedad es el desarrollo de resistencia a la insulina en el hígado. En otros artículos hemos hablado ya de este proceso, pero en resumen está relacionado con la incapacidad del hígado de reconocer la insulina presente en la sangre y liberada por el páncreas en presencia de nutrientes.
MASLD afecta a pacientes con síndrome metabólico, que son aquellos que cumplen al menos 3 de estos 5 criterios:
- Obesidad
- Hipertensión
- Diabetes
- Hipertrigliceridemia
- Hiperlipidemia
Como imaginaréis, padecer estas condiciones supone no procesar correctamente los nutrientes, y por eso el hígado, el órgano central del metabolismo, se puede ver afectado.
Aunque la enfermedad en su conjunto se denomina MASLD, está compuesta de diversas fases que son relevantes desde el punto de vista terapéutico. Las primeras etapas no son peligrosas en sí mismas, pero predisponen a la aparición de otras enfermedades peligrosas, como cirrosis, cáncer de hígado, enfermedades cardiovasculares o ictus. Sin embargo, las últimas etapas son mortales por necesidad al comprometer la función del hígado.
Esteatosis → Esteatohepatitis (MASH) → Fibrosis → Cirrosis.

Veamos el proceso en profundidad.
Fase 1: Esteatosis hepática
Esteatosis es el término que se emplea para definir la acumulación anormal de grasa dentro de las células. Cuando este proceso ocurre en el hígado, hablamos de esteatosis hepática.
La esteatosis hepática supone la primera etapa de la enfermedad. En esta fase, el hígado acumula grasas porque, o bien existe un exceso de nutrientes en el cuerpo y debe almacenarlos como sea, o no recibe la señalización adecuada que le permita secretar esos lípidos hacia la sangre.
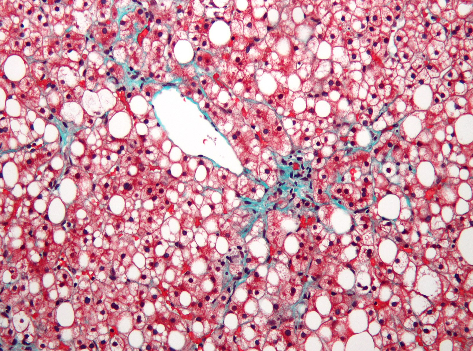
El hígado puede agrandarse ligeramente por la presencia de estas grasas, pero en este punto la enfermedad no da síntomas porque la función del hígado se mantiene. La única forma de ver que existe esteatosis es mediante pruebas diagnósticas en las que se observe que más de un 5 % del contenido del hígado son grasas, que se observan como esferas blancas dentro de las células:
Sección de hígado de un paciente con MASLD. Los depósitos de grasa aparecen como esferas blancas dentro de las células. Fuente
Como en esta fase la enfermedad no da síntomas, suele progresar hacia la esteatohepatitis (MASH).
Fase 2: Esteatohepatitis (MASH)
La palabra esteatohepatitis proviene de la mezcla de los términos “acumulación de grasas” (esteatosis) e “inflamación del hígado” (hepatitis).
De manera crónica, la acumulación de grasas favorece la generación de estrés oxidativo, que en lenguaje sencillo es la aparición de moléculas que reaccionan de forma caótica con otras moléculas de la célula y las daña. Recordemos que en una célula todo está calculado al milímetro, en un equilibrio donde miles de procesos coexisten para permitir la vida. La aparición de estrés oxidativo supone un ataque a la funcionalidad de las células, ya que altera la señalización de las hormonas, daña sus membranas y afecta a las mitocondrias, los principales orgánulos encargados de generar energía y procesar los lípidos. En conjunto, todo esto resulta en una progresiva pérdida de función de las células del hígado, los hepatocitos, que se van volviendo senescentes y mueren por apoptosis.
En este punto, la función del hígado comienza a verse comprometida y aparecen fenómenos de inflamación. Las células moribundas emiten señales de inflamación que son reconocidas por células del sistema inmune, las cuales tratan de contener el daño secretando al medio fibras de colágeno, entre otros procesos.
Entramos en la fase de fibrosis hepática.
Fase 3: Fibrosis hepática
Los hepatocitos tienen cierta capacidad de regeneración, pero a largo plazo los sucesivos ciclos de regeneración, muerte e inflamación provocan que progresivamente se genere tejido fibrótico en el hígado, que está compuesto por colágeno, células inmunes y otros tipos de tejido conectivo.
Podemos pensar en la fibrosis como lo que ocurre cuando nos hacemos una herida y se genera una cicatriz. En esos casos, la herida se cierra y se preserva la apariencia de la piel, pero por debajo se han perdido todas las células y glándulas que existían en el tejido sano. Por ejemplo, este es uno de los motivos por el que las cicatrices no acumulan suciedad: al no tener glándulas sudoríparas, no producen sudor que favorezca la acumulación de suciedad.
El principal problema de este proceso de fibrosis es que imposibilita que se regeneren las células hepáticas y se recupere la función del hígado, lo que progresivamente lo va deteriorando. En estadios muy avanzados, entramos en la fase de cirrosis hepática.
Fase 4: Cirrosis hepática
La cirrosis hepática supone el final de la vida útil del hígado y sucede cuando la fibrosis está tan diseminada que el propio tejido conectivo limita el flujo de sangre por el hígado y los pocos hepatocitos que sobreviven son incapaces de hacer su función. En este punto la función del hígado se ve severamente comprometida, lo que genera síntomas como cansancio, debilidad, pérdida de apetito, pérdida de peso y dolor abdominal o acumulación de fluidos en el abdomen, entre otros síntomas.
En este punto, el daño es irreversible. Las únicas opciones terapéuticas consisten en un trasplante de hígado, medicación para contener los síntomas y modificaciones del estilo de vida para que el daño vaya a más.
Afortunadamente, llegar a este punto es complicado. Las dos primeras fases (esteatosis hepática y MASH) son reversibles si se tratan a tiempo, lo que permitiría conservar la funcionalidad del hígado sin problemas. La fase 3 de fibrosis entraña mayores problemas ya que el tejido fibrótico no puede eliminarse, pero con tratamiento se puede detener también la progresión de la enfermedad. Quizás, el mayor problema sea el conseguir un diagnóstico temprano de la enfermedad.
Diagnóstico
Ya hemos visto que MASLD es una enfermedad que “aparece” de la mano de otras: obesidad, hipertensión, diabetes, … Todas ellas parecen más importantes y severas que MASLD, que no da síntomas en sus estadios iniciales o sus síntomas se pueden confundir con los de las otras enfermedades. Esto provoca que la enfermedad pase desapercibida o que, en el mejor de los casos, se resuelva al tratar las demás enfermedades que la acompañan. Por ejemplo, intervenciones de estilo de vida para combatir la obesidad y la diabetes tipo 2 pueden aliviar también la presión sobre el hígado, lo que permitiría frenar el avance de MASLD.
A esto se le suma la dificultad de diagnosticar la enfermedad. El hígado es un órgano interno de difícil acceso para realizar pruebas y aguanta muy bien la presión. La progresión entre las etapas de la enfermedad es lenta y sucede en el intervalo de varios años, muchos de ellos sin síntomas. Un análisis de sangre rutinario no nos permite detectarlo porque la acumulación de grasa es intrahepática y muchos parámetros sanguíneos permanecen inalterados hasta fases muy avanzadas de la enfermedad. El hígado trabaja como un titán incluso bajo presión. De hecho, los análisis de sangre solo son útiles cuando el hígado está muy dañado, momento en el que se liberan proteínas de los hepatocitos como la aspartato y alanina aminotransferasas (AST y ALT) y podemos detectarlas en la sangre.
Una opción útil son los diagnósticos por imagen (resonancia magnética, ultrasonidos), que permiten evaluar cambios en la estructura, tamaño y morfología del hígado. Sin embargo, no permiten identificar correctamente el estadio de la enfermedad o la presencia de fibrosis.
Por ello, la prueba de oro para diagnosticar MASLD consiste en tomar una biopsia hepática y analizar el tejido mediante tinciones. A pesar de su invasividad, se mantiene como la principal forma inequívoca de diagnóstico. De hecho, agencias reguladoras como la FDA requieren que los pacientes que se sometan a ensayos clínicos hayan sido confirmados mediante una biopsia de hígado, lo que limita el reclutamiento de los pacientes y alarga los ensayos clínicos.
Para evaluar la gravedad de la enfermedad en estas biopsias, se emplean distintas clasificaciones que evalúan dos parámetros:
- El grado de esteatosis, o de deposición de grasa dentro de las células.
- El grado de fibrosis del tejido.
La clasificación más comúnmente utilizada en clínica es la basada en el sistema de la NASH Clinical Research Network1:

Veamos ahora la magnitud del potencial mercado que está llevando a multitud de empresas a interesarse por la enfermedad.
Industria y mercado
Prevalencia
La epidemiología de MASLD nos muestra un mercado potencial ENORME.
Se estima que 47 de cada 100 personas padecen algún tipo de MASLD, lo que supone entre el 30-40 % de la población global adulta 2. En Estados Unidos, 85 millones de personas conviven con MASLD, y se estima que ese numero crezca hasta los 110 millones en los próximos años 3. De estos, en torno al 6-8 % se encuentra en estadio de MASH, lo que da una oportunidad de mercado de entre 15-25 millones de personas. Otros estudios como los citados por Novo Nordisk nos indican que 22 millones de personas vivirán con MASH en fase 2-4 en 2030 4, que son las etapas donde la intervención farmacológica podría ser esencial.
Con estas cifras, ¿cómo es posible que una enfermedad tan común pase desapercibida?
Porque se encuentra sumamente infradiagnosticada. La dificultad de diagnóstico unida a la falta de síntomas en etapas tempranas genera una combinación demoledora:
El 80-90% de los pacientes de MASLD permanecen sin diagnosticar.
Por eso, el futuro de la enfermedad pasa no solo por desarrollar tratamientos efectivos, sino también por mejorar las técnicas diagnósticas para ampliar el espectro de pacientes diagnosticados. A más pacientes diagnosticados → más pacientes susceptibles de ser tratados. De hecho, empresas como Novo Nordisk han sabido interpretar correctamente la situación y están financiando investigaciones para mejorar el diagnóstico de la enfermedad4. Y conseguir mejores diagnósticos no es una decisión trivial. Los métodos que se desarrollen tienen que convencer a la FDA, que actualmente pide biopsias de hígado para evaluar la eficacia de los fármacos en ensayos clínicos.
Pasemos ahora a los tratamientos disponibles.
Tratamientos
Hasta hace poco, las opciones terapéuticas se limitaban a combatir el sedentarismo y cambiar los hábitos alimenticios del paciente, tratando de inculcar una dieta mediterránea. Sin embargo, los resultados no eran muy satisfactorios por la dificultad de la adherencia al tratamiento a largo plazo.
En términos de fármacos, el candidato ideal debería cumplir una serie de requisitos:
- Resolver la esteatohepatitis y mejorar el estado de fibrosis.
- Mejorar el control de la glucosa y reducir los niveles de colesterol.
- Tener una tolerabilidad adecuada, con efectos secundarios mínimos.
- Disminuir el riesgo de eventos cardiovasculares y la aparición de otras enfermedades.
- Administrarse de forma oral.
- Tener un margen de uso amplio para tratar las distintas fases de la enfermedad.
- Mejorar los biomarcadores de la enfermedad.
En este sentido, ningún fármaco había logrado avanzar en ensayos clínicos con éxito, y el panorama de la enfermedad había dejado un cementerio de fallos. Hasta ahora.
En la actualidad contamos con varios fármacos que tratan de atacar la enfermedad desde varios puntos de vista, 2 recientemente aprobados y otros en proceso de aprobación con buenas perspectivas.
Veamos qué novedad aportan estos fármacos y sus perspectivas de hacerse un hueco en este mercado.
Agonistas de TR
Los agonistas del receptor de hormonas tiroideas se han posicionado como una estrategia interesante para el tratamiento del hígado graso.
Este receptor se expresa a altos niveles en el hígado y su activación provoca un incremento del consumo energético y la termogénesis (producción de calor) y la captura de colesterol de la sangre para su excreción en la bilis. Por lo tanto, diseñar fármacos encaminados a activar este receptor podría ayudar a reducir los depósitos de grasa del hígado.
Ha habido varios intentos de activar este receptor a base de tiromiméticos, fármacos que tratan de emular a las hormonas tiroideas T3 y T4, con diferente grado de éxito. Fármacos como el Sobetirome demostraron ser eficaces, pero generaban multitud de efectos secundarios por la amplia distribución de los receptores de hormonas tiroideas en el organismo.
Tras varias generaciones de fármacos, la compañía Madrigal Therapeutics consiguió desarrollar con éxito el Resmetirom (nombre comercial Rezdiffra), el primer fármaco aprobado en Estados Unidos para el tratamiento de MASH en fases 2-3.
Estructura de Resmetirom.
La aprobación del Resmetirom ha supuesto una revolución para el tratamiento de MASH. Se trata de la primera molécula con un nuevo mecanismo de acción capaz de reducir los niveles de grasas en el hígado, resolver la esteatohepatitis hasta en un 30 % de los pacientes y reducir el grado de fibrosis. Al ser el primer fármaco para tratar MASH en el mercado, se espera que capture una gran cuota de mercado hasta la aprobación de sus competidores. No obstante, la competencia le pisa los talones, y veremos el ejemplo de moléculas como VK2809 de Viking Therapeutics que siguen el mismo mecanismo de acción pero parecen ser más potentes. A pesar de llegar más tarde al mercado, la ventaja de estos compuestos es que las agencias reguladoras ya han aprobado fármacos con el mismo mecanismo, lo que facilitará su adopción y el visto bueno a su aprobación.
Agonistas de GLP-1R
Hay poco que decir aquí sobre los agonistas del GLP-1R, pues hemos hablado en profundidad sobre su mecanismo de acción aquí, aquí, aquí y aquí, entre otros.
La semaglutida de Novo Nordisk representa el análogo de GLP-1 por excelencia y está consolidado su uso en diabetes y obesidad. Al reducir los niveles de azúcar en sangre, mejorar la sensibilidad a insulina de los tejidos, reducir el apetito y fomentar la secreción de insulina, la semaglutida consigue mejorar el metabolismo de manera general y vuelve a poner el hígado en funcionamiento para eliminar sus depósitos grasos.
En ensayos clínicos, la semaglutida demostró reducir el estadio de MASLD en el 59 % de los pacientes, lo que supone una mejoría incluso respecto al Resmetirom. Su reciente aprobación por la FDA para tratar MASH lo convierte en la segunda opción disponible en el mercado en muy poco tiempo. De hecho, para muchos médicos y pacientes la semaglutida ya es un medicamento con el que están familiarizados, lo que incrementará aún más su tasa de adopción.
¿Lo mejor? Resmetirom y semaglutida ni siquiera son competidores directos. Al estimular mecanismos independientes, ambos fármacos podrían usarse de manera combinada para potenciar el tratamiento de la enfermedad. Sinergia → menos competencia → mayor adopción y cuota de mercado.
Además de la semaglutida, la tirzepatida también está siendo analizada para tratar MASH, aunque va algo rezagada respecto a la primera.
Agonistas de GCGR
Los agonistas del receptor de glucagón (CGCR) constituyen una alternativa interesante para tratar MASLD. El glucagón es una hormona que fomenta el gasto energético, y tiene en el hígado su principal órgano efector. Cuando el glucagón llega al hígado, su receptor estimula la lipolisis en los hepatocitos, un proceso por el que los ácidos grasos se degradan para liberar energía. Por este motivo, los agonistas que buscan estimular este receptor podrían ser una alternativa interesante.
Algunas empresas como Eli Lilly, Novo Nordisk o Hanmi Pharmaceuticals están desarrollando péptidos que estimulan el receptor del glucagón, como la retatrutida, NN1706 o la efocipegtrutida de las que hablé en este artículo. Aunque algunos de estos agonistas están enfocados en maximizar la pérdida de peso, algunos se están probando en ensayos clínicos para tratar el hígado graso: resultados preliminares de un ensayo de fase 2 de la retatrutida han demostrado que era capaz de reducir el grado de inflamación y fibrosis del hígado en hasta un 80 % de los pacientes a las 24 semanas.
Sin embargo, estos fármacos no están exentos de riesgos. Por ejemplo, existen receptores de glucagón en el corazón con la función de incrementar el latido cardiaco, los cuales pueden ser peligrosos si se activan de manera inintencionada (que se lo digan a NN1706). Aunque constituyen una opción interesante, creo que aún tienen mucho que demostrar para constituir una opción terapéutica viable para tratar MASH.
Agonistas del FGFR
Por último, los agonistas de los receptores del factor de crecimiento fibroblástico (FGFR) explotan un mecanismo de acción alternativo pero muy interesante desde el punto de vista biológico.
Existen multitud de tipos de FGFR distribuidos por el organismo, pero hay un subtipo que se expresa específicamente en tejidos metabólicamente importantes, como son el hígado, el tejido adiposo y el páncreas. Este receptor reconoce al factor de crecimiento fibroblástico 21 (FGF21), que es una proteína secretada por los hepatocitos del hígado en situaciones de estrés. Las funciones de esta hormona son múltiples 5 :
- Incrementa la sensibilidad a insulina del tejido adiposo y fomenta la captación de glucosa.
- Incrementa el gasto energético y la degradación de las grasas en el hígado.
- Reduce los niveles de inflamación.
Por tanto, la generación de análogos de FGF21 representa una oportunidad terapéutica para mejorar el metabolismo y reducir el contenido graso del hígado. Esto mismo es lo que trata de conseguir Efruxifermin (ARK-001), que consiste en una proteína de fusión que combina:
- La región Fc de un anticuerpo IgG1 humano para incrementar su estabilidad y tiempo de vida media en sangre, como ya vimos al estudiar la efocipeftrutida.
- Dos regiones que emulan al FGF21 para activar al FGFR específico de estos tejidos.
- Una serie de modificaciones en algunos residuos de los dominios FGF21 para reducir su exposición a proteasas que puedan degradarlo.
Estructura de Efruxifermin. Fuente
Mediante esta combinación de elementos, se cree que Efruxifermin logra activar rutas intracelulares en los hepatocitos que les protegen del estrés oxidativo y además mejorar el procesamiento de los nutrientes en el resto del cuerpo para aliviar la presión sobre este órgano.
El fármaco se encuentra actualmente en una serie de ensayos con resultados mixtos. En ensayos de fase 2 con pacientes de MASH, el fármaco ha demostrado eficacia para reducir el contenido graso en un 15 % y eliminar MASH en un 40 % de los pacientes (NCT03976401, NCT04767529) 67. Sin embargo, en otro ensayo de fase 2 dirigido a reducir la fibrosis hepática de pacientes con cirrosis, el fármaco no ha logrado producir diferencias significativas (NCT05039450)8. Aun con este pequeño fracaso, Efruxifermin podría seguir siendo relevante para los estadios no-cirróticos de MASLD y hacer un hueco en el mercado. Actualmente se encuentra en ensayos de fase 3.
Necesidad médica insatisfecha
Como inversores, tenemos que entender qué necesitan los pacientes para poder tratar su enfermedad. Es decir, si existen huecos dentro del curso de la patología donde haya una necesidad que no se haya resuelto aún.
En el caso de MASLD, tenemos varios frentes abiertos:
- Por un lado, los tratamientos basados en cambios del estilo de vida tienen un éxito muy limitado. El resmetirom aprobado en 2024 y la semaglutida aprobada en 2025 simplemente han abierto la veda en un sector que promete volverse muy competitivo. Los pacientes necesitan terapias que combatan la enfermedad de forma clara y que sean accesibles.
- Por otro lado, también tenemos el problema del infradiagnóstico de la enfermedad. ¿Cómo vamos a combatir una enfermedad silenciosa que no da síntomas hasta fases muy avanzadas? Sin diagnóstico, no hay tratamiento, y por eso se vuelve vital desarrollar métodos de diagnóstico menos invasivos y fácilmente realizables a una gran parte de la población.
- Por último, la fase de cirrosis, donde el daño es tan elevado que a lo máximo que podemos aspirar es a detener el progreso de la misma. Los tratamientos actuales no parecen ser capaces de revertir el daño hepático en fases tan avanzadas, lo que deja frentes abiertos y oportunidades de mercado. Por ejemplo, un agente que consiguiera reducir la fibrosis de manera efectiva para “revertir” las etapas de la enfermedad tendría mucho valor potencial.
Conclusión
Si la diabetes y la obesidad eran conocidas como las enfermedades del siglo XXI, el hígado graso no se queda atrás. Y, a diferencia de estas, es un asesino silencioso que aparece cuando ya es tarde para remediarlo.
Para tratar a los pacientes de manera eficaz, el sector debe buscar una combinación de:
- Mejora en los métodos de diagnóstico.
- Tratamientos eficaces con mínimos efectos secundarios, usados solos o en combinación.
Desde la perspectiva médica, el reto está en detectar de forma precoz y personalizar las terapias. Desde la perspectiva inversora, el escenario es igualmente claro: nos encontramos ante una enfermedad altamente prevalente, con gran necesidad clínica no cubierta y una ventana abierta para la innovación. Solo logrando ambas cosas, se conseguirá penetrar en este mercado tan prometedor como posiblemente competitivo en el futuro.
Footnotes
-
Chowdhury, A.B., Mehta, K.J. Liver biopsy for assessment of chronic liver diseases: a synopsis. Clin Exp Med 23, 273–285 (2023). https://doi.org/10.1007/s10238-022-00799-z ↩
-
J Clin Invest. 2025;135(7):e186418. https://doi.org/10.1172/JCI186418. ↩
-
Åberg, Fredrik1; Jiang, Z. Gordon2; Cortez-Pinto, Helena3; Männistö, Ville4,5. Alcohol-associated liver disease—Global epidemiology. Hepatology 80(6):p 1307-1322, December 2024. | DOI: 10.1097/HEP.0000000000000899 ↩
-
- FGF21 agonists: An emerging therapeutic for metabolic dysfunction-associated steatohepatitis and beyond Harrison, Stephen A. et al. Journal of Hepatology, Volume 81, Issue 3, 562 - 576.
-
Harrison, S.A., Ruane, P.J., Freilich, B.L. et al. Efruxifermin in non-alcoholic steatohepatitis: a randomized, double-blind, placebo-controlled, phase 2a trial. Nat Med 27, 1262–1271 (2021). https://doi.org/10.1038/s41591-021-01425-3 ↩
-
Efruxifermin in Compensated Liver Cirrhosis Caused by MASH | New England Journal of Medicine ↩